
Top-Rated Orthodontist in Arlington

Among the Best Orthodontists in Arlington
Meet Dr. Yajun Cui, DMD, PhD
Your Top-Rated Family Orthodontist-Scientist
- Harvard-trained orthodontist with Top-5 D.M.D. and a research-driven Ph.D. background.
- Published researcher with studies in Nature Medicine, Arthritis Rheum, and other respected journals.
- Owner of Sweet Smiles Orthodontics, providing advanced, patient-focused orthodontic care in Arlington.
- Recipient of ICD Leadership Award, OKU Honor Society, and Young Investigator Award.
- Experienced in braces, TADs, expanders, functional appliances, and leading aligner systems.

Starting Orthodontics is Easy
Schedule
Choose Your Plan
Same-Day Braces
Core Orthodontic Services – Orthodontic Treatment in Arlington, MA

Braces
Metal braces and self-ligating clear (ceramic) braces to suit different treatment needs.
Airway Orthodontics
Treatment focused on guiding vertical growth using vertical pull chin cups, expanders, MARPE, or SARPE to correct skeletal concerns and support better breathing.




Invisalign® Clear Aligners
Clear aligner options for all ages, including Invisalign, providing a discreet and comfortable alternative to braces.
Braces Removal
Professional removal of braces, followed by tooth polishing and custom retainer preparation.




Orthodontics for Adults
Orthodontic care for adults of all ages, with discreet braces and clear aligner options designed for busy professionals.
Orthodontics for Children
Orthodontic treatment for kids and teens starting from age 6, offering early intervention and teen-friendly treatment options.


Bite Problems & Airway Habits
Overbite
Underbite
Mouth Breathing
Tongue Thrust
Jaw Surgery
Crossbite
Crowding
Spacing
Open Bite


Cost & Insurance for Braces & Invisalign in Arlington
At Sweet Smiles Orthodontics – Arlington Braces & Invisalign, we make orthodontic care simple and affordable.
- Flexible payment options are available for braces and Invisalign.
- We work with PPO dental insurance plans that include orthodontic benefits for out-of-network providers and assist patients in understanding their coverage.
- Transfer patients are welcome, and we’re happy to continue your care.
Advanced Orthodontic Appliances
Palatal Expanders
Teeth Retainers
TMJ Mouth Guard
Herbst Appliances & Alternatives

Advanced Technology for Precise, Comfortable Orthodontic Care
- Digital Scanning & 3D Treatment Planning: Uses precise digital scans of your teeth to plan treatment without traditional impressions.
- Braces Options: Traditional metal braces and clear ceramic braces for effective, reliable teeth alignment.
- Aligner Option: Invisalign® clear aligners offer a discreet, comfortable alternative to braces.
- Emergency Care: Immediate support for urgent orthodontic concerns.
What Our Patients Say

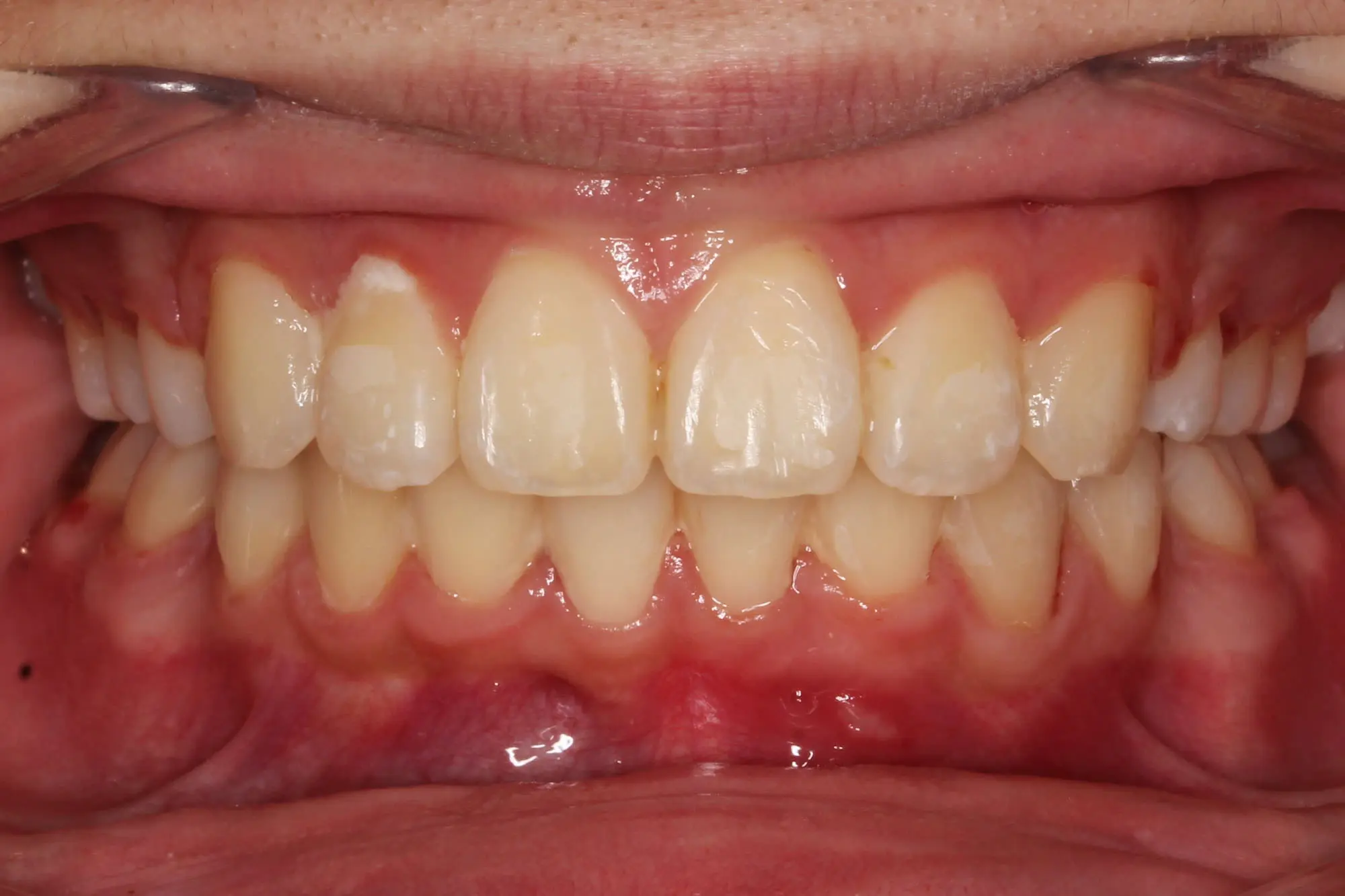
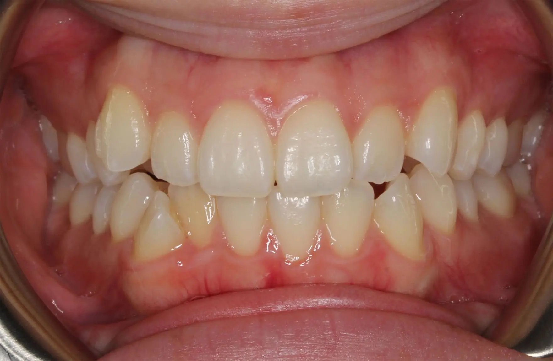
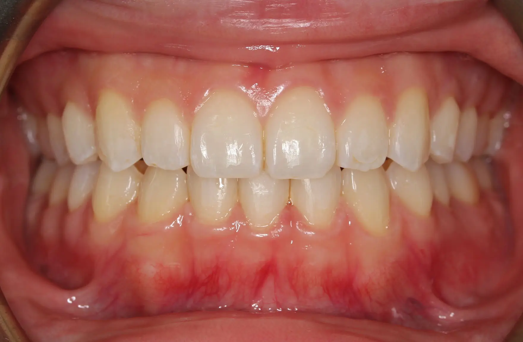
Smile Gallery: Invisalign & Braces Before‑and‑After in Arlington
Invisalign/Clear Aligners
Braces
Your Orthodontic Office in Arlington
Located in the heart of Arlington, our office is at 1408 Massachusetts Ave, Arlington, MA. Conveniently near popular landmarks such as the Minuteman Bikeway, Arlington Center, and Spy Pond. Easily accessible by car and local bus routes, our central location makes visiting simple for patients throughout the area.
Minutes away from: Cambridge, Belmont, Medford, and Lexington. Only 15 minutes from downtown Boston. Our prime location allows patients from across the Greater Boston area to reach us with ease.
Our practice proudly serves top neighborhoods in Arlington and surrounding communities, welcoming patients from Arlington Center, East Arlington, West Arlington, and nearby towns including Cambridge, Lexington, and Medford.




